Table of Contents
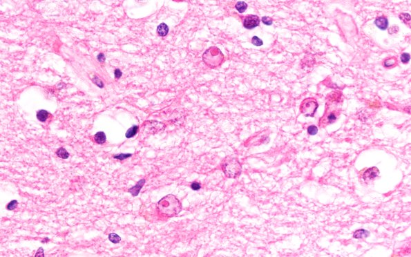
Washington University Experience | NEURODEGENERATION | Neuronal Nuclear Inclusion Disease (NIID) | 2B8 NIID & Alzheimer Dz (NIID, Case 2) H&E 100X 1
It is difficult to be sure that these are glia or small neurons, likely the latter. (H&E)
