Table of Contents
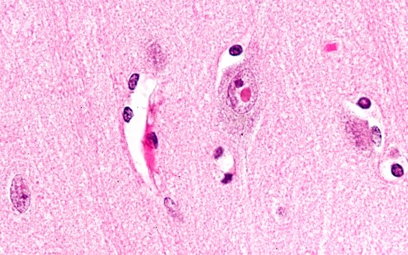
Washington University Experience | NEURODEGENERATION | Neuronal Nuclear Inclusion Disease (NIID) | 3A4 NIID (AANP DSS 2005-3) cortex cerebral 100X 1
This high magnification, oil immersion image shows the inclusion and an adjacent nucleolus. (H&E)
