Table of Contents
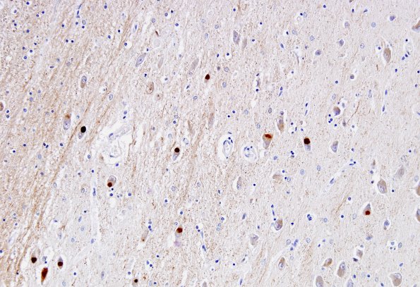
Washington University Experience | NEURODEGENERATION | Neuronal Intermediate Filament Inclusion Disease (NIFID) | 1E9 NIFID (Case 1) Thalamus a-internexin
1E9,10 Thalamic neurons also develop alpha-internexin inclusions. (anti-INTX IHC)
