Table of Contents
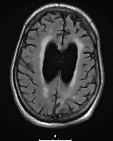
Washington University Experience | NEURODEGENERATION | Pick Disease | 11A1 Pick Dz (Case 11) T2FLAIR - Copy - Copy
11A1-3 These axial FLAIR images demonstrate marked ventricular dilatation and substantial frontal, temporal (and parietal) lobe atrophy.
