Table of Contents
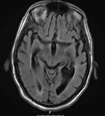
Washington University Experience | NEURODEGENERATION | Pick Disease | 11A2 Pick Dz (Case 11) T2FLAIR 2 - Copy - Copy
These axial FLAIR images demonstrate marked ventricular dilatation and substantial frontal, temporal (and parietal) lobe atrophy
