Table of Contents
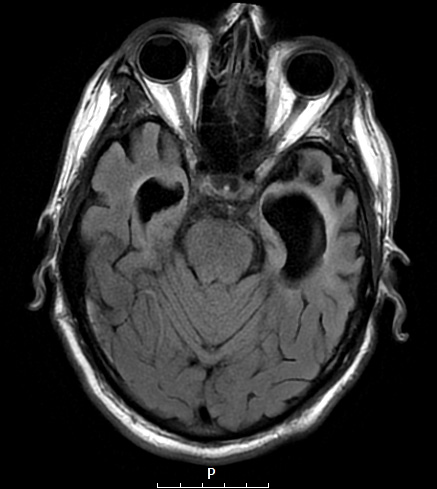
Washington University Experience | NEURODEGENERATION | Pick Disease | 11A3 Pick Dz (Case 11) T2FLAIR 3 - Copy - Copy
This axial FLAIR image demonstrates marked ventricular dilatation and substantial frontal, temporal (and parietal) lobe atrophy
