Table of Contents
Washington University Experience | NEURODEGENERATION | Pick Disease | 11A4 Pick Dz (Case 11) T1 post Contrast 2 - Copy
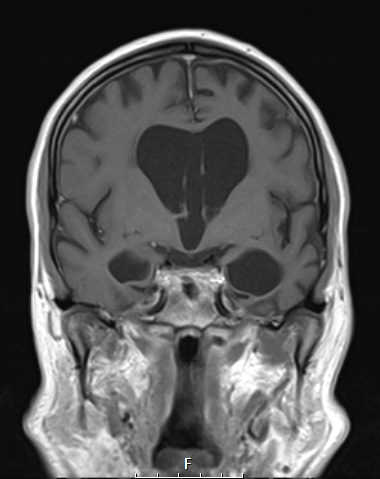
A T1-weighted coronal image demonstrates the frontal and temporal lobe atrophy with a hint of superior temporal gyrus sparing.
