Table of Contents
Washington University Experience | NEURODEGENERATION | Pick Disease | 11C3 Pick Dz & ADNC (Case 11) N1 H&E 10X
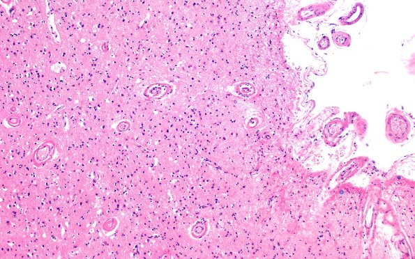
11C3-5 The subarachnoid vessels continue to be prominent. The vascular walls contain amorphous material (later shown to be amyloid). Somewhat unusual is the collection of “double-barrel” telescoped vessels in large numbers within the parenchyma. In this site there is only mild neuron loss and pallor. (H&E)
