Table of Contents
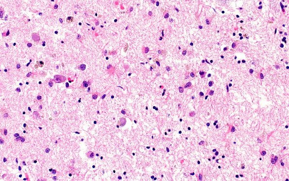
Washington University Experience | NEURODEGENERATION | Pick Disease | 11D10 Pick Dz (Case 11) N3 40X
Although most of the cortical neurons are well preserved, there are scattered areas of neuron loss and astrocytosis in the adjacent entorhinal cortex. (H&E)
