Table of Contents
« prev
next »
Washington University Experience
|
NEURODEGENERATION
|
Pick Disease
|
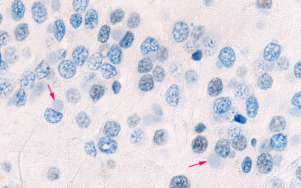
11D9 Pick Dz (Case 11) N3 TDP43 100X 3 copy
The inclusions (arrows) are not immunoreactive for TDP43 (TDP43 IHC) or alpha synuclein (not shown)
Image Info
Camera Maker:
Olympus
Camera Model:
DP74
Shutter Speed:
42/1123 sec
Metering Mode:
Multi-Spot
Gallery RSS
|
Archive View
|
Login
|
Powered by
Zenphoto