Table of Contents
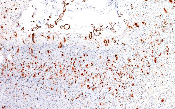
Washington University Experience | NEURODEGENERATION | Pick Disease | 11E2 Pick Dz & ADNC (Case 11) BAmyloid 4X
Amyloid immunoreactivity was variable even within the hippocampus. The amyloid deposition was prominent in the subarachnoid and parenchymal vasculature and within the cerebral cortex. (Beta amyloid, BAP IHC)
