Table of Contents
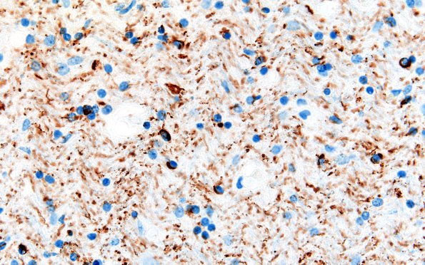
Washington University Experience | NEURODEGENERATION | Pick Disease | 11F11Pick Dz & ADNC (Case 11) N3 WMatter Tau 60X 5
The white matter in the hippocampus contains numerous tau immunoreactive processes and coiled bodies. (Tau IHC)
