Table of Contents
« prev
next »
Washington University Experience
|
NEURODEGENERATION
|
Pick Disease
|
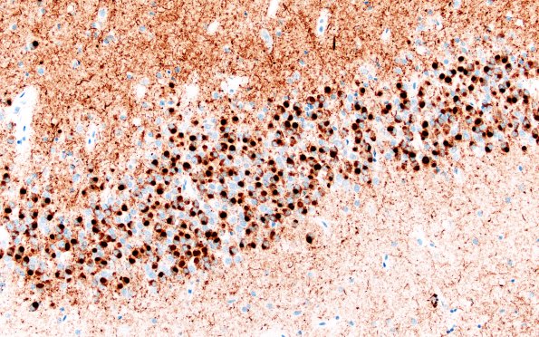
11F7 Pick Dz & ADNC (Case 11) Tau 20X
The dentate fascia is diffusely involved with Pick bodies which are smaller than those in pyramidal cells. (Tau IHC)
Image Info
Camera Maker:
Olympus
Camera Model:
DP74
Shutter Speed:
13/10000 sec
Metering Mode:
Multi-Spot
Gallery RSS
|
Archive View
|
Login
|
Powered by
Zenphoto