Table of Contents
« prev
next »
Washington University Experience
|
NEURODEGENERATION
|
Pick Disease
|
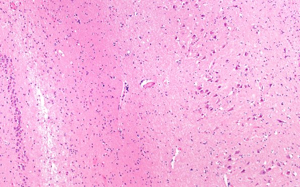
1C6 Pick Disease (Case 1) L5 CA1 60X A
An image of the dentate gyrus on the left and the CA1 subfield on the right containing pyramidal neurons. (H&E)
Image Info
Camera Maker:
Olympus
Camera Model:
DP74
Shutter Speed:
23/50000 sec
Metering Mode:
Multi-Spot
Gallery RSS
|
Archive View
|
Login
|
Powered by
Zenphoto