Table of Contents
« prev
next »
Washington University Experience
|
NEURODEGENERATION
|
Pick Disease
|
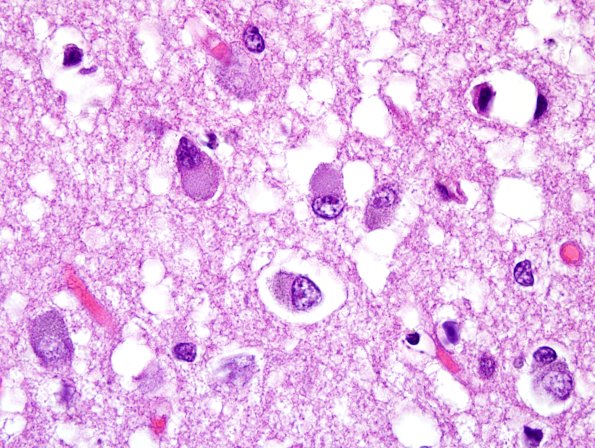
1D6 Pick Disease (Case 1) L19 H&E 100X 7.jpg
Additional examples of cingulate cortical neurons with Pick bodies. (H&E)
Image Info
Camera Maker:
Olympus Corporation
Camera Model:
DP70
Original Time Taken:
18-02-2016
Shutter Speed:
5/123 sec
ISO Sensitivity:
200
Metering Mode:
Spot
Gallery RSS
|
Archive View
|
Login
|
Powered by
Zenphoto