Table of Contents
« prev
next »
Washington University Experience
|
NEURODEGENERATION
|
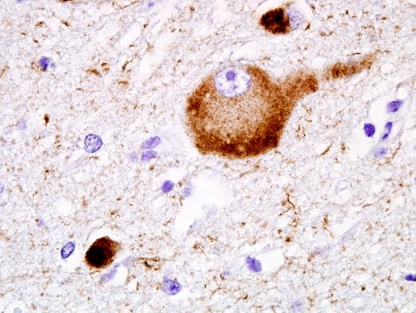
Pick Disease
|
1F7 Pick Disease (Case 1) L19 PHF1 100X 7.jpg
Pick cells stain in a granular pattern not in the discrete solid single inclusion of a Pick body. (PHF1 IHC)
Image Info
Camera Maker:
Olympus Corporation
Camera Model:
DP70
Original Time Taken:
18-02-2016
Shutter Speed:
1/40 sec
ISO Sensitivity:
200
Metering Mode:
Spot
Gallery RSS
|
Archive View
|
Login
|
Powered by
Zenphoto