Table of Contents
« prev
next »
Washington University Experience
|
NEURODEGENERATION
|
Pick Disease
|
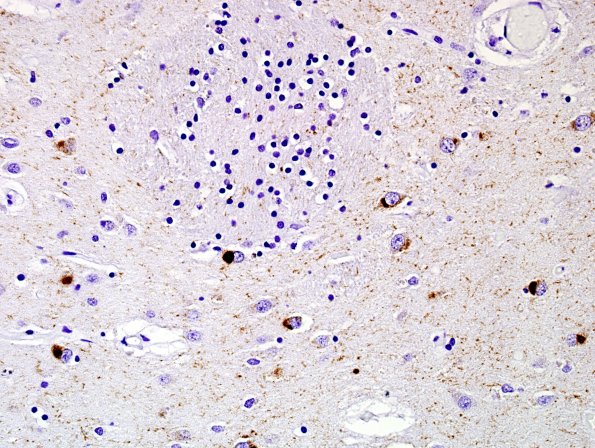
1G2 Pick Disease (Case 1) L6 BG PHF1 2.jpg
Both Pick bodies and Pick cells are seen in the basal ganglia. (PHF1 IHC)
Image Info
Camera Maker:
Olympus Corporation
Camera Model:
DP70
Original Time Taken:
19-02-2016
Shutter Speed:
1/179 sec
ISO Sensitivity:
200
Metering Mode:
Spot
Gallery RSS
|
Archive View
|
Login
|
Powered by
Zenphoto