Table of Contents
« prev
next »
Washington University Experience
|
NEURODEGENERATION
|
Pick Disease
|
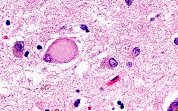
3B8 Pick Dz (Case 3) N1 H&E 100X
Higher magnification of one of the balloon cells has a chromatolytic appearance. (H&E)
Image Info
Camera Maker:
Olympus
Camera Model:
DP74
Shutter Speed:
29/1250 sec
Metering Mode:
Multi-Spot
Gallery RSS
|
Archive View
|
Login
|
Powered by
Zenphoto