Table of Contents
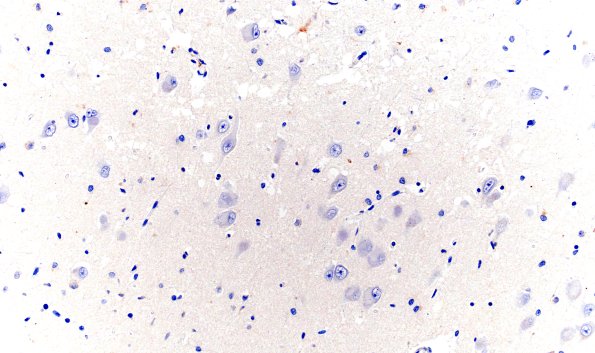
Washington University Experience | NEURODEGENERATION | Pick Disease | 5D8 Picks Dz (Case 5) L5 4R Tau 20X CA1
5D7,8 Pick bodies in the CA1 subfield cells at 20X magnification are 3R Tau immunoreactive (5D7) and fail to label with 4R Tau (5D8). (3R and 4R Tau IHC)
