Table of Contents
« prev
next »
Washington University Experience
|
NEURODEGENERATION
|
Pick Disease
|
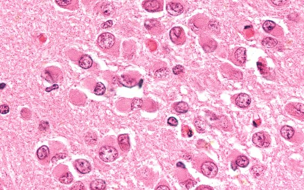
8B2 Pick Dz (Case 8) HC 100X 2
Multiple neurons have Pick bodies in the dentate gyrus of the hippocampus. (H&E)
Image Info
Camera Maker:
Olympus
Camera Model:
DP74
Shutter Speed:
21/1000 sec
Metering Mode:
Multi-Spot
Gallery RSS
|
Archive View
|
Login
|
Powered by
Zenphoto