Table of Contents
« prev
next »
Washington University Experience
|
NEURODEGENERATION
|
Polyglucosan Body Disease (PGBD)
|
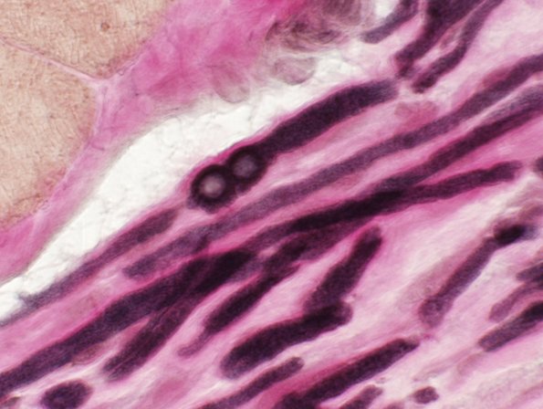
10D2 Polyglucosan body (Case 10D) VVG 2.jpg
Intramuscular VVG stained axons showing focal expansions by PB, (VVG histochemical stain).
Image Info
Camera Maker:
Olympus Optical Co.,ltd.
Camera Model:
DP70
Original Time Taken:
07-02-2007
Shutter Speed:
1/5 sec
ISO Sensitivity:
200
Metering Mode:
Spot
Gallery RSS
|
Archive View
|
Login
|
Powered by
Zenphoto