Table of Contents
« prev
next »
Washington University Experience
|
NEURODEGENERATION
|
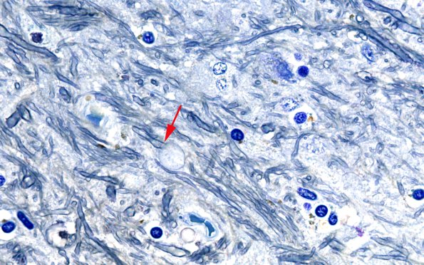
Polyglucosan Body Disease (PGBD)
|
3D8 PGB (Case 3) DHorn Plastic 9 100X copy
Is this a focal swelling along this axon?
Image Info
Camera Maker:
Olympus
Camera Model:
DP74
Shutter Speed:
11/412 sec
Metering Mode:
Multi-Spot
Gallery RSS
|
Archive View
|
Login
|
Powered by
Zenphoto