Table of Contents
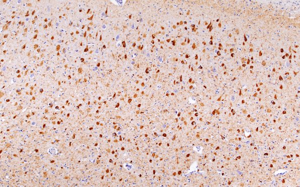
Washington University Experience | NEURODEGENERATION | Primary Age-Related Tauopathy (PART) | 1B4 PART, AGD, DLBD, No AD (Case 1) PHF 10X
Numerous neurofibrillary tangles, ghost tangles, and neuritic threads are seen at higher magnifications. No neuritic plaques are seen.
