Table of Contents
« prev
next »
Washington University Experience
|
NEURODEGENERATION
|
Primary Age-Related Tauopathy (PART)
|
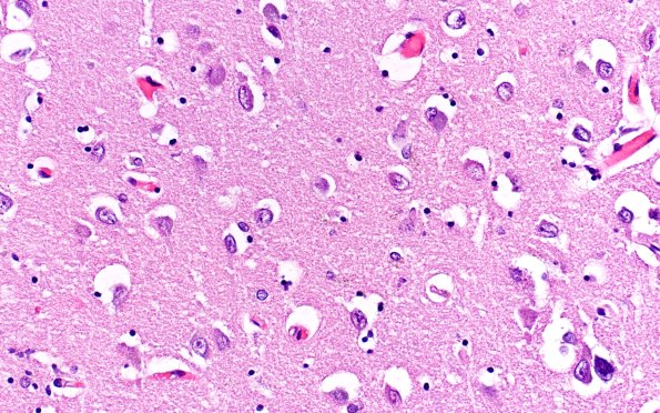
2B2 PART (Case 2) H&E 40X
Higher magnification of image #2B1. (H&E)
Image Info
Camera Maker:
Olympus
Camera Model:
DP74
Shutter Speed:
1/200 sec
Metering Mode:
Multi-Spot
Gallery RSS
|
Archive View
|
Login
|
Powered by
Zenphoto