Table of Contents
« prev
next »
Washington University Experience
|
NEURODEGENERATION
|
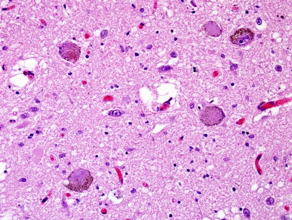
Progressive Supranuclear Palsy (PSP)
|
13B3 PSP (Case 13) N7 LC H&E 1.jpg
Tangles in pigmented locus ceruleus neurons are prominent. (H&E)
Image Info
Camera Maker:
Olympus Corporation
Camera Model:
DP70
Original Time Taken:
29-03-2016
Shutter Speed:
1/246 sec
ISO Sensitivity:
200
Metering Mode:
Spot
Gallery RSS
|
Archive View
|
Login
|
Powered by
Zenphoto