Table of Contents
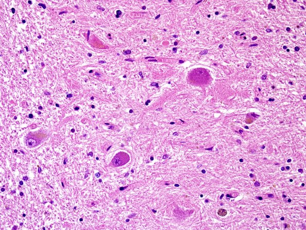
Washington University Experience | NEURODEGENERATION | Progressive Supranuclear Palsy (PSP) | 13B4 PSP (Case 13) N9 dentate grumose H&E 1.jpg
13B4,5 The dentate neurons are undergoing grumose degeneration. PHF-1 IHC reveals tangles, pre-tangles, and a mild-to-moderate density of neuropil threads within the dentate nucleus, and occasional tau positive threads and ‘tufted’ astrocytes in the cerebellar white matter. (H&E)
