Table of Contents
« prev
next »
Washington University Experience
|
NEURODEGENERATION
|
Progressive Supranuclear Palsy (PSP)
|
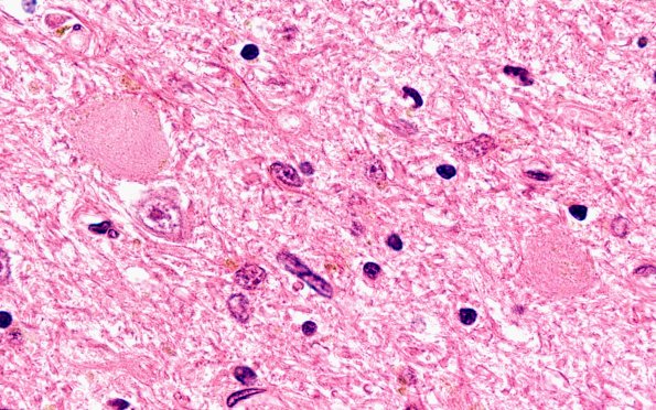
15B5 PSP (Case 15) 2 H&E STN 100X
Higher magnification of globose tangles from image #15B4. (H&E)
Image Info
Camera Maker:
Olympus
Camera Model:
DP74
Shutter Speed:
35/1341 sec
Metering Mode:
Multi-Spot
Gallery RSS
|
Archive View
|
Login
|
Powered by
Zenphoto