Table of Contents
Washington University Experience | NEURODEGENERATION | Progressive Supranuclear Palsy (PSP) | 17B10 Progressive Supranuclear Palsy (PSP) (Case 17) N9 Dentate H&E 60X 3
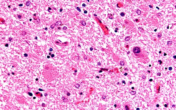
There is a marked loss of neurons within the dentate nucleus with concomitant gliosis and grumose degeneration. A small resolving white matter infarct is detected, replete with gliosis and foamy macrophages.
