Table of Contents
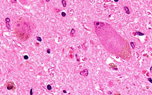
Washington University Experience | NEURODEGENERATION | Progressive Supranuclear Palsy (PSP) | 17B6 Progressive Supranuclear Palsy (PSP) (Case 17) N6 SN H&E 100X 2
Higher magnification of a large nigral neuron with a globose tangle shown in image #17B5. (H&E)
