Table of Contents
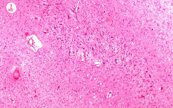
Washington University Experience | NEURODEGENERATION | Progressive Supranuclear Palsy (PSP) | 17B8 Progressive Supranuclear Palsy (PSP) (Case 17) N9 Dentate H&E 10X
17B8-11 There is a marked loss of neurons within the dentate nucleus with concomitant gliosis and grumose degeneration. A small resolving white matter infarct is detected, replete with gliosis and foamy macrophages.
