Table of Contents
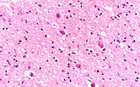
Washington University Experience | NEURODEGENERATION | Progressive Supranuclear Palsy (PSP) | 18A2 (Case 18) H&E Subthal 40X 2
The subthalamic nuclei showed neuron loss, astrocytosis and occasional globose tangles in remaining neurons. (H&E)
