Table of Contents
« prev
next »
Washington University Experience
|
NEURODEGENERATION
|
Progressive Supranuclear Palsy (PSP)
|
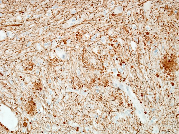
6H5 PSP (Case 6) N9 Dentate NF 4.jpg
Multiple images showing variability in the size of grumose terminals. (NF IHC)
Image Info
Camera Maker:
Olympus Corporation
Camera Model:
DP70
Original Time Taken:
10-03-2016
Shutter Speed:
1/216 sec
ISO Sensitivity:
200
Metering Mode:
Spot
Gallery RSS
|
Archive View
|
Login
|
Powered by
Zenphoto