Table of Contents



Washington University Experience | NEURODEGENERATION | Progressive Supranuclear Palsy (PSP) | 8B14 PSP (Case 8) Grumose Dentate b

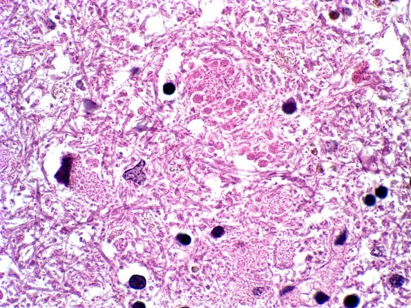
8B14 PSP (Case 8) Grumose Dentate b
Dentate neurons exhibit grumose degeneration. (H&E)


Gallery RSS RSS Feed | Archive View | Login | Powered by Zenphoto