Table of Contents



Washington University Experience | NORMAL | Cerebellum | 6A2 Normal Cerebellum, Myelin Basic Protein (UPenn Control Slide) 1

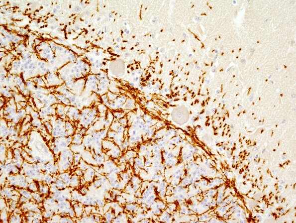
6A2 Normal Cerebellum, Myelin Basic Protein (UPenn Control Slide)  1
Higher magnification of image #6A1. (MBP IHC)


Gallery RSS RSS Feed | Archive View | Login | Powered by Zenphoto