Table of Contents



Washington University Experience | NORMAL | Choroid plexus | 3A2 Choroid Plexus (Case 3) H&E 1 copy

3A2 Choroid Plexus (Case 3) H&E 1 copy
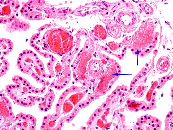
A typical choroid plexus in this 45 year old woman shows early fibrous deposits (arrow, 3A2). (H&E)


Gallery RSS RSS Feed | Archive View | Login | Powered by Zenphoto