Table of Contents
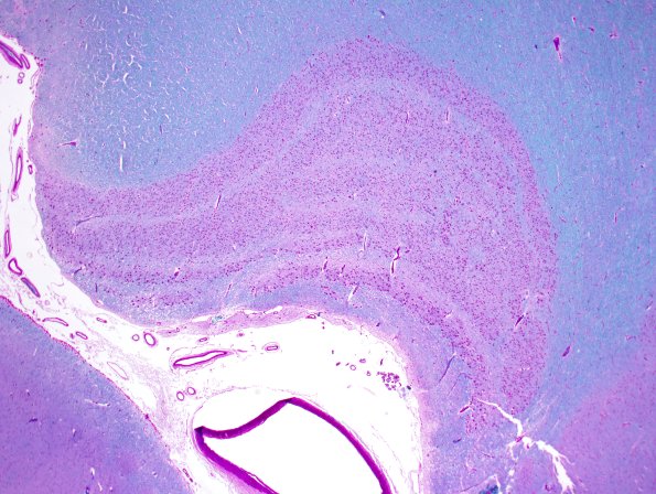
Washington University Experience | NORMAL | Hippocampus & LGN | 1B1-Hippocampus-normal-Case-1-LFB-PAS-2X.jpg
1B1,2 The LGN is laminated which is seen well in this LFB-PAS preparation where myelin separates the lamellae into two ventral magnocellular layers (1 & 2) and 4 dorsal parvicellular layers (layers 3-6). Layers connect with different eyes. Specifically, the contralateral eye projects to layers 1,4, & 6 and the ipsilateral eye innervates layers 2,3 & 5.
