Table of Contents
« prev
next »
Washington University Experience
|
NORMAL
|
Hippocampus & LGN
|
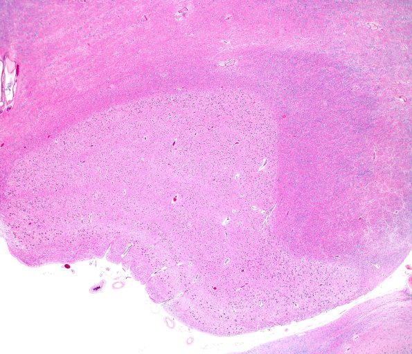
3A1-LGN-Case-3-H-E-2X.jpg
3A1,2 The LGN of a third case shows well delimited neuronal layers stained with H&E (3A1) and LFB-PAS (3A2).
Image Info
Camera Maker:
Olympus Corporation
Camera Model:
DP70
Original Time Taken:
27-03-2012
Shutter Speed:
1/3200 sec
ISO Sensitivity:
200
Metering Mode:
Spot
Gallery RSS
|
Archive View
|
Login
|
Powered by
Zenphoto