Table of Contents
« prev
next »
Washington University Experience
|
NORMAL
|
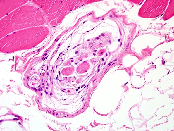
Muscle Spindle
|
1A2-Muscle-spindle-Case-2-H-E-3.jpg
Two muscle spindles showing the capsule separating intrafusal muscle fibers from adjacent extrafusal fibers. (H&E)
Image Info
Camera Maker:
Olympus Corporation
Camera Model:
DP70
Original Time Taken:
22-10-2015
Shutter Speed:
1/188 sec
ISO Sensitivity:
200
Metering Mode:
Spot
Gallery RSS
|
Archive View
|
Login
|
Powered by
Zenphoto