Table of Contents



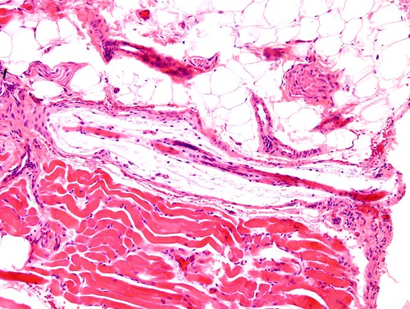
Washington University Experience | NORMAL | Muscle Spindle | 1A4A Muscle spindle (Case 4) H&E 3

1A4A Muscle spindle (Case 4) H&E 3
1A4A,B – 1A6A,B Multiple examples of nuclear bag fibers within muscle spindles. (H&E)


Gallery RSS RSS Feed | Archive View | Login | Powered by Zenphoto