Table of Contents



Washington University Experience | NORMAL | Muscle Spindle | 1A6A Normal Muscle, spindle H&E 1

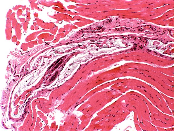
1A6A Normal Muscle, spindle H&E 1
Multiple examples of nuclear bag fibers within muscle spindles. (H&E)


Gallery RSS RSS Feed | Archive View | Login | Powered by Zenphoto