Table of Contents
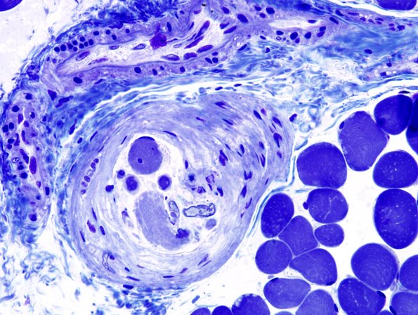
Washington University Experience | NORMAL | Muscle Spindle | 2A1 Muscle Spindle (Case 7) Plastic 1
A one-micron toluidine blue stained plastic embedded muscle spindle showing intrafusal muscle fibers surrounded by a sheath. (Plastic sections)
