Table of Contents
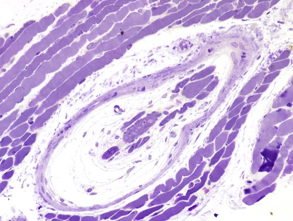
Washington University Experience | NORMAL | Muscle Spindle | 2B1B Muscle spindle (Case 8) Plastic 2
Although the central fiber shows a line of nuclei as would be expected for a nuclear chain fiber, its size is more consistent with a nuclear bag fiber. (Plastic sections)
