Table of Contents



Washington University Experience | NORMAL | Muscle Spindle | 3A1 Muscle Spindle (Case 9) EM 020 - Copy

3A1 Muscle Spindle (Case 9) EM 020 - Copy
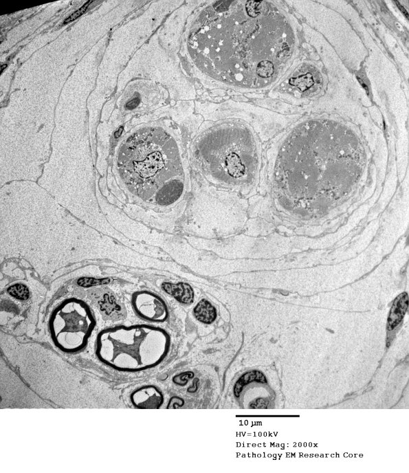
A muscle spindle and its innervating nerve are shown in this electron micrograph.


Gallery RSS RSS Feed | Archive View | Login | Powered by Zenphoto