Table of Contents
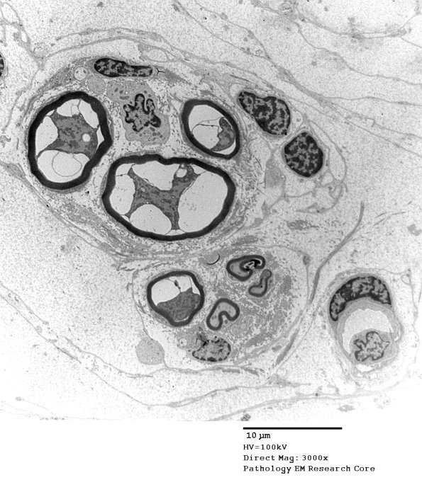
Washington University Experience | NORMAL | Muscle Spindle | 3A1B Muscle Spindle (Case 9) EM 015 - Copy
Higher magnification of this delicate nerve. The spaces between the axon and myelin sheath are artifacts. (electron micrograph)
