Table of Contents



Washington University Experience | NORMAL | Muscle Spindle | 3B1A Muscle Spindle (Case 9) EM 022 copy - Copy

3B1A Muscle Spindle (Case 9) EM 022 copy - Copy
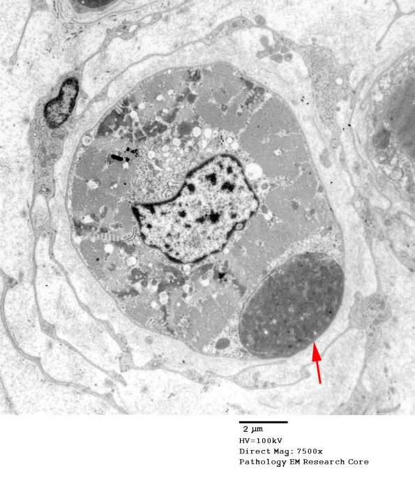
3B1A-C This unusual axon (arrow, 3B1A) is osmiophilic with densely compacted mitochondria. (electron micrographs)


Gallery RSS RSS Feed | Archive View | Login | Powered by Zenphoto