Table of Contents



Washington University Experience | NORMAL | Muscle Spindle | 3B1C Muscle Spindle (Case 9) EM 028 - Copy

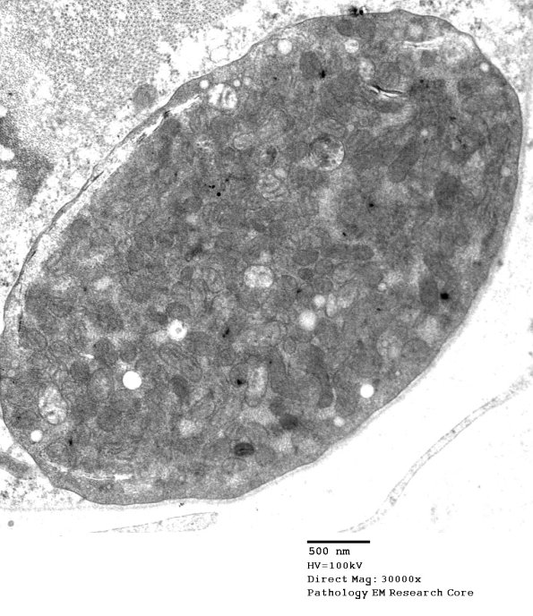
3B1C Muscle Spindle (Case 9) EM 028 - Copy
Higher magnification of the nerve terminal shown in image #3B1A. (electron micrograph)


Gallery RSS RSS Feed | Archive View | Login | Powered by Zenphoto