Table of Contents



Washington University Experience | NORMAL | Muscle Spindle | 3C1C Muscle Spindle (Case 9) EM 036 - Copy

3C1C Muscle Spindle (Case 9) EM 036 - Copy
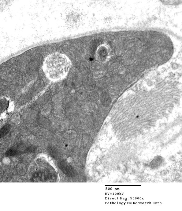
Higher magnification of the nerve terminal shown as image #3C1A. (electron micrograph)


Gallery RSS RSS Feed | Archive View | Login | Powered by Zenphoto