Table of Contents
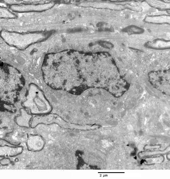
Washington University Experience | NORMAL | Oligodendroglia | 2B1A-Oligodendroglia-optic-nerve-mouse-R14-91E-A489-EM-004.jpg
2B1A-C Several magnifications of an oligodendroglial cell exhibiting a dense, dark cytoplasm, a round/oval nucleus with clumped chromatin, abundant ribosomes and endoplasmic reticulum (ER) and lack of glycogen. (electron micrographs)
