Table of Contents
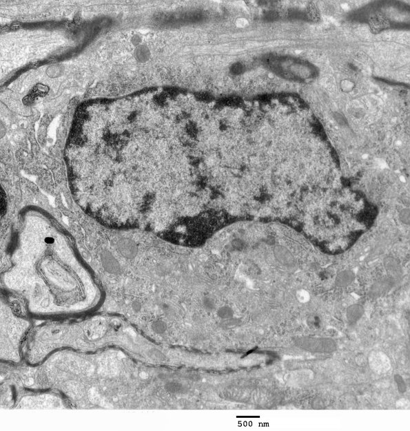
Washington University Experience | NORMAL | Oligodendroglia | 2B1B-Oligodendroglia-optic-nerve-mouse-R14-91E-A489-EM-005.jpg
An oligodendroglial cell exhibiting a dense, dark cytoplasm, a round/oval nucleus with clumped chromatin, abundant ribosomes and endoplasmic reticulum (ER) and lack of glycogen. (electron micrograph)
