Table of Contents



Washington University Experience | NORMAL | Oligodendroglia | 2B2-Oligodendroglia-optic-nerve-mouse-R14-91E-A489-EM-007.jpg

2B2-Oligodendroglia-optic-nerve-mouse-R14-91E-A489-EM-007.jpg
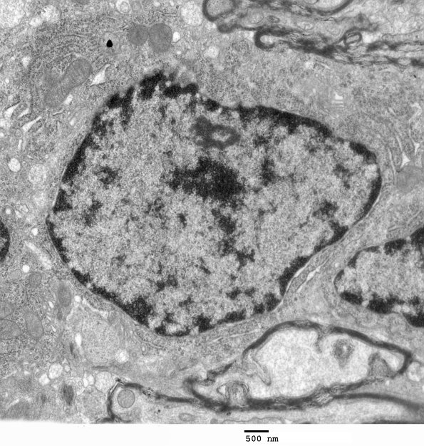
2B2,3 Additional images of oligodendrocytes in the mouse optic nerve. (electron micrographs)


Gallery RSS RSS Feed | Archive View | Login | Powered by Zenphoto